Zahnarzt Dr. Heribert Somweber - Ihr Ansprechpartner für Prothetik und Zahnersatz in Höfen bei Reutte

Ein wichtiger und umfassender Schwerpunkt unserer Ordination im Bezirk Reutte in Tirol liegt auf dem Fachbereich der Prothetik. Hier blicken wir auf umfassende Erfahrung zurück und streben nach perfekten ästhetischen Ergebnissen.

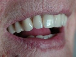
Zahnprothese und Zahnersatz in Höfen bei Reutte

Festsitzender und herausnehmbarer Zahnersatz

Die moderne Zahnmedizin macht es möglich, fehlende Zähne sowie die Funktion des gesamten Kauapparats wiederherzustellen. Farbe, Form und Struktur können heute nahezu identisch nachgebildet werden, sodass sich ein äußerst ästhetisches und harmonisches Gesamtbild ergibt. Die Möglichkeiten sind zahlreich: Sowohl festsitzender als auch herausnehmbarer Zahnersatz sowie Brücken und Prothesen stehen zur Verfügung.

Natürliche Ersatzzähne und Prothesen - für ein Höchstmaß an Komfort

In unserem hauseigenen Labor fertigen wir Totalprothesen individuell und höchsten Ansprüchen entsprechend an. Wir nehmen unsere Verantwortung ernst und streben nach Lösungen, die sich der Situation des jeweiligen Patienten perfekt anpassen. In diesem Sinne arbeiten wir mit viel Feingefühl und fachlicher Kompetenz, um den hohen Ansprüchen an uns selbst gerecht zu werden. Nur so ist es uns möglich, äußerst ästhetische und natürliche Prothesen auszuarbeiten, die ein Höchstmaß an Tragekomfort ermöglichen.

Sie haben Fragen zu unserem Angebot? Gerne nehmen wir Ihre Anfrage unter +43 5672 64763 entgegen!


Prothetik und Zahnersatz in der Ordination Dr. Somweber in Höfen im Bezirk Reutte