Kieferorthopädie in der Ordination Dr. Heribert Somweber in Höfen im Bezirk Reutte in Tirol

Kieferorthopädische Behandlungen gelangen immer dann zum Einsatz, wenn es Fehlstellungen zu beheben gilt, oder das Platzangebot für einzelne Zähne und Bereiche nicht ausreichend ist. Ziel ist es, die Zähne mit Hilfe von festen oder herausnehmbaren Zahnspangen zu mobilisieren, um für eine ideale Position der Zähne zu sorgen.

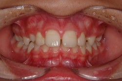
Zahnspange - Kieferorthopädie in Höfen

Kieferorthopädische Behandlungen für alle Altersstufen

Wer denkt, unser kieferorthopädisches Behandlungsangebot richtet sich vor allem an Kinder und Jugendliche, der irrt. Immer mehr Erwachsene entscheiden sich dafür, Fehlstellungen korrigieren zu lassen. Nur wenige wissen: Der Kiefer schrumpft im Erwachsenenalter. Das kann dazu führen, dass sich Zähne später verschieben.

Schöne Zähne - dank festsitzenden und abnehmbaren Geräten

Ob jugendlich oder erwachsen, wir auf jahrelange kieferorthopädische Erfahrung in sämtlichen Altersstufen zurück und sind für alle Patienten ein kompetenter und verlässlicher Ansprechpartner. Wir beraten stets individuell und fachgerecht zu abnehmbaren festsitzende Methoden und legen Wert darauf, die gesamte Behandlung sorgfältig und detailliert zu planen. Ob Multiloop oder unsichtbare Zahnspange, wir sind mit sämtlichen Methoden der modernen Kieferorthopädie bestens vertraut!

Unser Anliegen ist es, Ihnen zu dem Lächeln zu verhelfen, von dem Sie immer geträumt haben! Senden Sie uns eine unverbindliche Anfrage unter +43 5672 64763!


Zahnarzt Dr. Somweber - Ihr Ansprechpartner für kieferorthopädische Behandlungen in Höfen bei Reutte